
February 28 marks World Rare Disease Day, but at Vita-Salute San Raffaele University, the commitment to these conditions continues throughout the year.
From inherited neuropathies to neurodevelopmental disorders, as well as genetic forms of obesity and ultra-rare syndromes, our research groups work every day to uncover the molecular mechanisms underlying these diseases and to develop innovative therapeutic strategies.
In this context, three projects led by Prof. Alessandra Bolino, Dr. Alessandro Sessa, and Dr. Laura Silvestri have just been announced among the winners of the first round of the second edition of the “multi-round” call by Telethon Foundation in partnership with the Regional Foundation for Biomedical Research (FRRB).

Gene Therapy Strategies for Charcot-Marie-Tooth Neuropathies
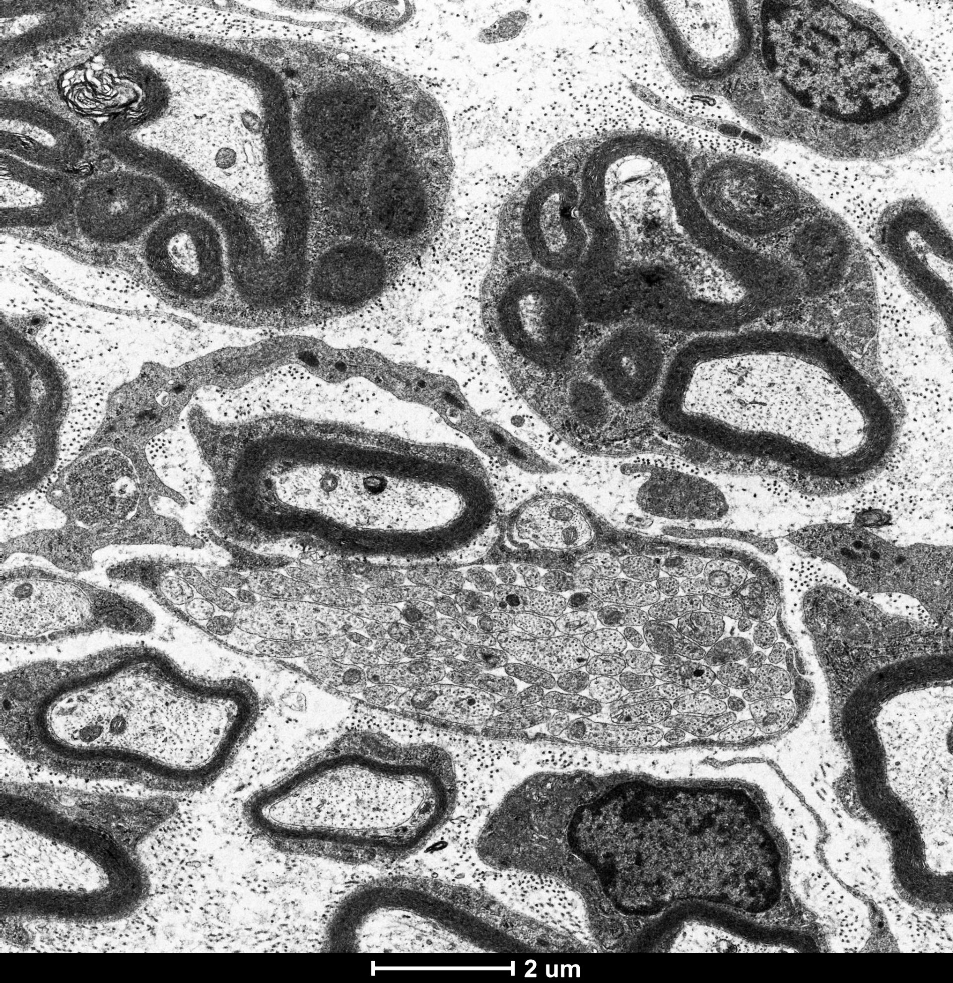
Charcot-Marie-Tooth (CMT) neuropathies are a large family of inherited neuromuscular diseases in which muscles progressively atrophy and weaken. To date, there is no cure.
Among them are severe congenital neuropathies known as CMT4B. In these diseases, mutations in two genes damage myelin, the protective sheath surrounding neurons, leading to neuronal degeneration.
Prof. Alessandra Bolino’s project aims to use gene therapy to correct the genetic defects underlying CMT4B neuropathies, starting from preclinical (cellular and animal) disease models.
Professor Bolino says:
The goal of the project is to prevent neuropathy at a very early stage through gene therapy, which in recent years has proven to be an effective strategy for several neuromuscular diseases. Through gene therapy, we will introduce the missing proteins in these conditions using preclinical disease models.

An Ultra-Rare Disease: the Schinzel-Giedion Syndrome
The Schinzel-Giedion syndrome is a very rare and severe neurodevelopmental disorder in which a genetic mutation causes toxic protein accumulation in nerve cells, impairing proper brain development. The result is intellectual disability, epileptic seizures, and, unfortunately, early mortality.
The project led by Dr. Alessandro Sessa aims to test the efficacy and safety of a gene therapy strategy developed in his laboratory and preliminarily validated in preclinical models of the disease.
Specifically, this gene therapy approach seeks to reduce the expression of the mutated protein responsible for the disease, thereby preventing or improving associated symptoms.
Dr. Sessa explains:
Our idea is to use small molecules from the same ‘family’ as DNA to reduce the expression of SETBP1, the mutated protein that accumulates in the disease. Preliminary data indicate that this approach is effective, at least in experimental systems. We are very grateful and proud of the multi-round funding, which will allow us to further investigate and validate this potential therapeutic strategy through increasingly complex experiments, with the ambition of moving soon toward clinical trials in patients.

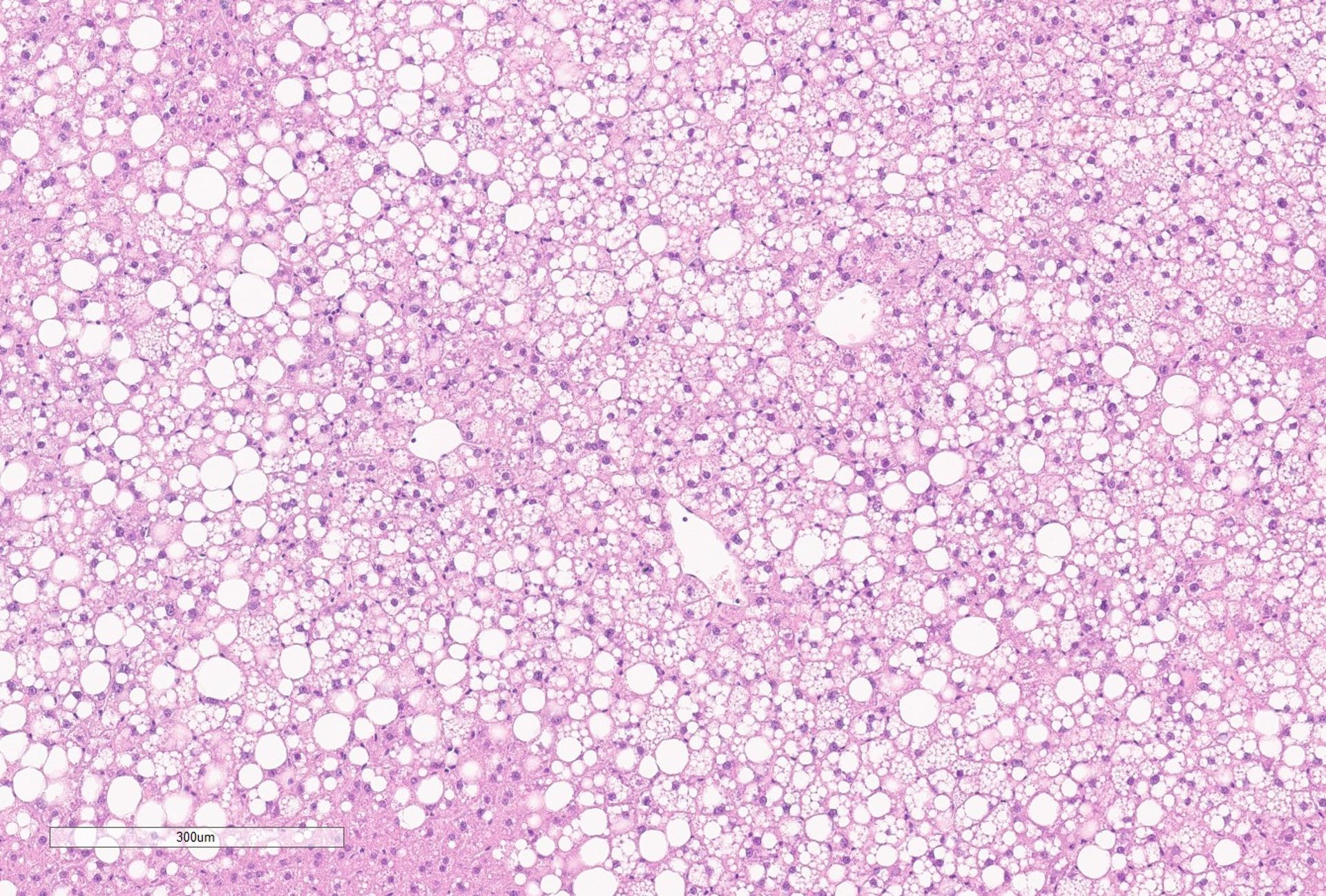
A Congenital Form of Obesity: the Leptin Receptor Deficiency
Leptin receptor deficiency (LEPRD) is a congenital genetic disease in which the brain no longer regulates appetite and energy balance signals.
This leads to hyperphagia (excessive eating), elevated blood glucose levels, and increased insulin resistance, resulting in a very severe form of pediatric obesity.
Dr. Laura Silvestri’s project aims to develop therapeutic strategies based on antisense oligonucleotides targeting a key regulatory pathway of liver metabolism.
Dr. Silvestri says:
Thanks to data recently generated by my group, we have shown that activation of the BMP-SMAD signaling pathway through liver-targeted antisense oligonucleotides is sufficient to improve lipid and sugar metabolism. By combining targeted gene modulation and appetite regulation, we aim to correct the metabolic defect underlying LEPRD.The goal is not only to intervene in this specific condition, but also to extend the approach to other forms of genetic obesity and rare metabolic disorders.

Research That Lasts All Year
These projects represent a few of the many initiatives active at UniSR in the field of rare diseases. They integrate basic research, preclinical validation, and the development of innovative therapeutic approaches, with constant attention to patients’ needs.
Among the most recent UniSR projects funded through Telethon’s multi-round call and active for the 2025–2027 period is the one led by Dr. Raniero Chimienti, dedicated to studying immune system imbalance in patients with the Wolfram syndrome, a rare neuroendocrine disease.
Says Dr. Chimienti, who coordinates the project with Dr. Giulio Frontino:
We study how mutations in the WFS1 gene alter the immune system. Understanding these mechanisms is essential to developing gene therapy strategies capable of slowing disease progression. These are also the objectives of our second project, jointly funded by The Snow Foundation and Fondazione Tronchetti-Provera, which aims to use gene therapy to restore WFS1 protein function in patients’ blood stem cells.
Together with Dr. Chimienti’s project, other winners of the same Telethon multi-round call (active for 2025–2027) include Dr. Alessandra Bragonzi’s project on cystic fibrosis and Dr. Chiara Zucchelli’s project on the development of new antiprion drugs
You might be interested in

UniSR designated as WHO tuberculosis research centre: what we will do together

Multiple sclerosis, breakthrough in research: researchers have identified a molecule that promotes repair of the nervous system

The microbiome as an ally against myeloma
